Lagrimeo en el adulto
¿Cuáles son las causas del lagrimeo en el adulto?
El lagrimeo en el adulto es uno de los síntomas que más frecuentemente ocasiona consultas oftalmológicas.
Aunque tienden a confundirse, hablamos de lagrimeo cuando existe un exceso de producción lagrimal y por epífora a la acumulación de lágrimas producidas en cantidad normal que no puede evacuarse en su totalidad.
Para una mayor practicidad se hablará de lagrimeo sin especificar uno u otro término
Es más frecuente en personas mayores de 60 años y más en mujeres, probablemente debido a causas anatómicas.
Existe una secreción basal de lágrima y otra que aparece ante un estímulo o agresión.
La lágrima se forma continuamente; parte de la misma se evapora y el resto se evacua a través de un sistema de drenaje que es la vía lagrimal. La evacuación tiene lugar de un modo activo, no sólo por gravedad. El parpadeo es fundamental para empujar la lágrima hacia los puntos lagrimales y después al resto del sistema de drenaje
Este finísimo mecanismo se puede alterar fácilmente produciendo el lagrimeo (o epífora)
La vía lagrimal se inicia en los llamados puntos lagrimales, alojados en el párpado inferior y en el superior. Desde allí por medio de los canalículos converge en el saco lagrimal, que se encuentra entre el globo ocular y el hueso de la nariz. Desde el saco lagrimal desciende el conducto lacrimonasal que desemboca en la parte posteroinferior de la fosa nasal.
Las causas del lagrimeo-epífora son múltiples:
|
- Por exceso de producción (por irritación e hiperestimulación corneal que desencadena el reflejo del lagrimeo): Sequedad ocular, blefaroconjuntivitis, irritación ambiental. - Por insuficiencia en el drenaje: por fallo en el mecanismo de bombeo y succión lagrimal: parálisis facial, envejecimiento, frotamiento de la zona, ectropión. - Por obstrucción mecánica del drenaje: estenosis del punto lagrimal, obstrucción del canalículo, obstrucción del saco o del conducto nasolagrimal. Obstrucción congénita. Obstrucciones por infecciones, traumatismos, neoplasias o dacriolitiasis. |
Las causas de lagrimeo son múltiples y desde un punto de vista puramente oculoplástico lo primero que determinamos, es si está originado por una causa obstructiva de la vía lagrimal o no obstructiva.
Traumatismos
No son raros los traumatismos de la vía lagrimal, sobre todo por mordeduras de perros, agresiones con las manos o cortes producidos por objetos.
Es importante intentar por todos los medios salvar los canalículos, tanto el superior como el inferior. En caso de traumatismo aislado del superior, a veces, se da por perdido y se evita su recanalización, dado que la función de drenaje de la lágrima es menos importante que la inferior.
Pero con el canalículo inferior debemos por todos los medios intentar su recanalización, aunque ésta no es sencilla.
La cirugía se debe hacer cuanto antes, en las primeras 48 horas, ya que existe una gran tendencia a que se retraiga el mismo y los tejidos adyacentes.
Podemos usar la anestesia local.
Hay dos métodos básicos de reconstrucción:
- El primero es canalizar las dos bocas del canalículo inferior, tutorizarlas con una sonda, y posteriormente cerrar los tejidos de alrededor. La sonda la mantenemos durante 3-4 meses.
![]() |
![]() |
![]() |
|||
![]() |
![]() |
||||
| Rotura canalículo inferior. Reconstrucción y tutorización con silicona | |||||
- En el otro procedimiento utilizamos una sonda metálica a modo de asa que se introduce por el canalículo superior e intenta abrirse camino hasta el inferior, desde donde engancharemos el tubo de silicona para extraerlo de nuevo por el superior y anudar los dos cabos.
![]() |
![]() |
![]() |
|||
| Rotura canalículo superior. Reconstrucción y tutorización con silicona | |||||
Son cirugías que tienen cierto grado de dificultad, por el calibre de los canalículos y precisan de microcirugía.
Los resultados suelen ser buenos.
Causas obstructivas no traumáticas
Las causas son múltiples: infecciosas (después de conjuntivitis), inflamatorias, tumorales, traumáticas o debidas a malformaciones.
A lo largo del recorrido anatómico de la vía lagrimal es posible que se desarrolle una obstrucción. Dependiendo del lugar donde ocurra está indicado un tratamiento u otro.
Así podemos tener estrecheces (estenosis) del punto lagrimal o ausencias del mismo (atresia o agenesia).
Afectación de los canalículos (es frecuente en tratamientos con Tamoxifén, empleado en el cáncer de mama, que inflama esta parte anatómica)
La localización más frecuente de obstrucción en el adulto es en la unión del saco con el conducto lacrimonasal.
¿Qué síntomas produce?
El principal síntoma que produce, lógicamente es la epífora. Pero también pueden existir secreciones.
El paciente puede notar sólo que el ojo está húmedo o puede notar que se le derrama la lágrima. A veces sucede solamente en la calle, en invierno o cuando le da el aire (situaciones en que se produce más lágrima). En otras ocasiones la epífora es permanente.
Las consecuencias de esto son que el paciente continuamente tiene que secarse y frotarse los ojos para aliviar sus síntomas, lo cual produce a la larga, cambios en sus párpados, como la hiperlaxitud, y déficit en la capacidad de bombeo de la lágrima. Esto es importante porque en estos casos aún después de una cirugía de la vía lagrimal exitosa, puede quedar un pequeño lagrimeo por esta hiperlaxitud palpebral, que también habrá que corregir.
![]() |
![]() |
| El frotamiento continuado puede producir hiperlaxitud palpebral | |
Otro de los síntomas menos frecuente, pero más importante, es la infección del saco lagrimal, con episodios repetidos de conjuntivitis, dando lugar a la aparición de la dacriocistitis, conocida vulgarmente como “rija”.
La dacriocistitis es un proceso agudo que requiere tratamiento con antibióticos tópicos y orales así como antiinflamatorios sistémicos. Es un proceso que causa gran dolor e inflamación periocular, con un punto doloroso sobre el área del saco lagrimal.
![]() |
![]() |
![]() |
| Dacriocistitis | ||
En aquellos pacientes que presentan episodios de dacriocistitis, se recomienda su tratamiento quirúrgico, como paso previo a la planificación de una futura cirugía de cataratas, con el fin de minimizar el riesgo de una infección intraocular.
¿Cómo se diagnostica la obstrucción de la vía lagrimal?
El diagnóstico se basa en los síntomas que presenta el paciente y en la exploración de la vía lagrimal. Esta se puede hacer de varias formas.
La más frecuente, en la consulta mediante el sondaje del punto lagrimal y canalículo, realizado con una cánula especial y muy fina. Es un procedimiento indoloro aunque puede ser algo molesto. De esta manera el oftalmólogo evalúa la obstrucción.
Otra prueba, es la radiológica. Se llama Dacriocistografía. La técnica es la misma que la irrigación descrita previamente pero con un contraste biológico vegetal. Se realizan dos o tres placas para ver el paso del contraste y así evaluar mejor su recorrido. No es una prueba imprescindible.
![]() |
| Dacriocistografia.Se aprecia que el contraste, en blanco tiene un stop |
Otras pruebas que puede ser preciso realizar son:
- Exploración rinoscópica (del interior de la nariz) por el Otorrinolaringólogo.
- TAC de fosas nasales para evaluar su anatomía, sobre todo en casos de traumatismos.
¿Cómo se trata la obstrucción de la vía lagrimal?
El objetivo de la cirugía es abrir un túnel, fístula o by-pass, por encima del lugar de la obstrucción. Por tanto no intentamos desobstruir la zona dañada sino que creamos una comunicación artificial. Ahí radica la dificultad de esta cirugía y su tasa de fracaso, ya que el organismo tiende a cerrar cualquier orificio no natural que se intente crear.
Para ello existen básicamente tres técnicas, cada una con sus pros y contras. Su cirujano le indicará cual es la mejor en su caso. En principio la Dacriocistorrinostomía (DCR) externa sigue siendo la técnica con mejor tasa de éxito, muy similar a la Dacricistorrinostomía endonasal. La técnica con láser más moderna obtiene peores resultados en cuanto a éxito.
Denominamos éxito en estas cirugías a:
- La ausencia de lagrimeo espontáneo
- La permeabilidad de la vía lagrimal, constatada mediante la irrigación
- La ausencia de infecciones relacionadas con el saco lagrimal obstruido
La cirugía en los tres casos se puede hacer con anestesia local y sedación, aunque es frecuente que su cirujano le indique anestesia general.
![]() |
| Anestesia local en la Dacriocistorrinostomía |
Antes de realizar la cirugía se necesita un estudio preoperatorio completo. Atendiendo sobre todo a aquellos pacientes en tratamiento con anticoagulantes. La DCR no está contraindicada en pacientes que toman Adiro ni Sintrom, pero si habrá que adoptar medidas de precaución.
No hay límite de edad para realizar esta cirugía.
Hay ocasiones en que realizamos una cirugía diferente que se llama.
DACRIOCISTECTOMÍA
La practicamos en aquellos pacientes en los que por la edad muy avanzada o por su estado físico no puedan someterse a la Dacriocistorrinostomía.
En esta cirugía eliminamos el saco lagrimal, sin crear una nueva vía de drenaje a la nariz, por tanto al paciente le seguirá llorando el ojo después. Nuestra finalidad es curar sus infecciones, dacriocistitis o “rijas”.
La operación se realiza con anestesia local, suele ser una cirugía de corta duración. El paciente debe saber que puede volver a regenerarse su saco lagrimal y por tanto a tener infecciones de nuevo. Esto ocurre hasta en un 5-10% de los casos tratados.
DACRIOCISTORRINOSTOMÍA EXTERNA (DCR-EX)
Esta técnica es la más antigua, pero sigue siendo la más eficaz en cuanto a tasa de éxito. Se realiza con anestesia local y sedación.
En ella realizamos una apertura en el saco lagrimal, en el hueso lagrimal y en la mucosa de la nariz, tallando y creando un túnel por el que pasará la lagrima.
![]() |
![]() |
| Incisión en piel y osteotomía | |
La cirugía puede durar 30-50 minutos.
Es necesario realizar una incisión sobre la piel en la zona lagrimal.
Sus ventajas: mayor tasa de éxito.
Sus desventajas: incisión en la piel. El porcentaje de cicatrices antiestéticas es muy bajo: menor del 3 por mil.
Antes de terminar se coloca un tubito de silicona dentro de la vía lagrimal con el objeto de garantizar algo más la permeabilidad.
En otras ocasiones y sobre todo en segundas intervenciones podemos aplicar Mitomicina. Este fármaco es un potente inhibidor del crecimiento celular, frenando la cicatrización. No se emplea de forma rutinaria ya que puede tener potencialmente algún efecto secundario.
![]() |
![]() |
| Incisión en DCR externa | |
Es importante instruir al paciente para que no tire de dichos tubitos.
![]() |
| Salida de tubos de silicona |
Estos tutores o tubos de silicona se retiran en dos o tres meses, y lo hacemos en la consulta, desde la nariz, de forma indolora.
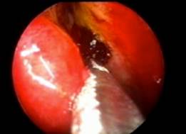
DACRIOCISTORRINOSTOMÍA ENDONASAL (DCR-ENDO)
En este caso, la cirugía se hace a través de la fosa nasal. Desde allí se perfora la mucosa nasal y el hueso de la nariz hasta el saco lagrimal.
La ventaja es la ausencia de cicatriz en la piel.
![]() |
![]() |
| DCR Endonasal | |
Desventajas: en fosas nasales muy estrechas, o en traumatismos, es más difícil su realización.
Ante una sospecha de tumoraciones en el saco lagrimal no estaría indicada.
Se realiza con anestesia local y sedación.
Al final de la cirugía se colocan los tubitos de silicona.
DACRIOCISTORRINOSTOMÍA ENDOCANALICULAR CON LÁSER.
Es la técnica más novedosa. Gracias a unas microfibras de vidrio flexibles que se introducen a través de los puntos lagrimales y canalículos, podemos hacer osteotomías y llegar a la nariz por medio de impulsos de láser.
Es una técnica menos agresiva que las dos anteriores. El inconveniente es la alta tasa de fracasos.
![]() |
| DCR endocanalicular con láser |
Se realiza con anestesia local.
En estos pacientes también se colocan tubos de silicona y se emplea con más frecuencia la Mitomicina.
CONJUNTIVODACRIOCISTORRINOSTOMÍA. CDCR
Esta cirugía se realiza en aquellos casos en los que la obstrucción está a nivel de los canalículos y por tanto la Dacriocistorrinostomía es ineficaz.
Hemos de crear una vía de drenaje por encima y ya no tenemos espacio suficiente para tallar un túnel.
En esta técnica se introduce en el ángulo lagrimal, en la carúncula, un tubito de cristal que llega directamente por dentro a la nariz.
Es una técnica que solo se emplea en casos con mucha sintomatología ya que el índice de fracasos es muy alto.
Cuidados en cirugía de Vía Lagrimal
Independientemente del tipo de técnica empleado, hay una serie de cuidados comunes:
El paciente estará 24-48 con un taponamiento nasal que se retirará en la consulta.
El ojo puede estar con un parche oclusor durante 24 horas.
A partir de entonces se aplican pomada antibiótica en la incisión si la hay.
Es importante limpiar diariamente la fosa nasal y aplicar un antiinflamatorio tópico durante unos días.
Su oftalmólogo le entregará un protocolo con los mismos. Cuidados postcirugía.
El éxito de la cirugía se puede valorar ya en los primeros días, en los que el paciente nota una gran mejoría en el lagrimeo. El fracaso puede ocurrir en lo primeros días o semanas. Son raros los fracasos a partir del tercer mes, pudiendo durar la vía permeable toda la vida.






























